外科系犬
種名:ダックスフント
年齢:
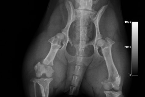
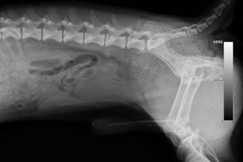
症例:大腿骨先端の骨折
検査
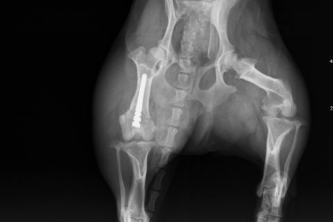
治療
犬種はダックス、執刀者は院長です。
今回は、大腿骨の先端が骨折した症状です。
専門的には、大腿骨遠位端骨折といいます。
この骨折は比較的珍しい骨折ですが、今回は滑車溝の真ん中で骨折した非常に珍しい骨折です。
大腿骨遠位端骨折は、比較的手術が難しい骨折です。当院では院内で矢状ピンを作成して手術しています。
治療結果はかなり良い状態です。
コメント

