予防診療について

動物は言葉が話せないだけに、ご家族にとってワンちゃん、猫ちゃんの健康上問題がないか?などの心配が尽きません。

若くて元気なうちから健康管理、予防を習慣化しておくことで、健康状態の推移が確認できるだけでなく、病気の早期
発見、早期治療につながります。

当院で受けられる予防診療

当院で受けられる予防診療
  • ワクチン接種(混合ワクチン、狂犬病ワクチン)
  • フィラリア症予防
  • ノミ・ダニ予防
  • 避妊・去勢
  • 健康診断
  • 歯科、口腔内予防処置

ワクチン

混合ワクチンで予防できる病気は伝染力が強い、致死率が高い病気が多く含まれ、予防がとても大事です。

猫(3種と5種類のワクチンが接種可能)
  • 猫汎白血球減少症
  • 猫ウイルス性鼻気管炎
  • 猫カリシウイルス感染症
  • 猫白血病ウイルス感染症
  • 猫クラミジア感染症
犬(6種と10種類のワクチンが接種可能)
  • 犬ジステンパー
  • 犬パルボウイルス感染症
  • 犬伝染性肝炎
  • 犬アデノウイルス感染症
  • 犬パラインフルエンザ感染症
  • 犬レプトスピラ感染症(カニコーラ、イクテロヘモラジー、グリッポチフォーサ、ポモナ株)
  • 犬コロナウイルス感染症
ワクチン

ワクチン接種後、一時的に元気や食欲がなくなったり、疼痛、腫脹、発熱、嘔吐、下痢などを起こしたり、アレルギー反応を起こすことがまれにあります。ワクチン接種後はよく観察し、安静を保ちましょう。

フィラリア症

どんな病気?

蚊により媒介された犬フィラリアという虫が心臓などに寄生し様々な症状(咳、お腹に水がたまる、食欲不振など)を起こす感染症です。
予防期間は蚊が出始めてから1か月後から蚊が見られなくなってから1か月後までです。
毎月1回の投薬または年1回の注射で予防します。

ノミ・ダニ予防

ノミ

春から夏の暖かい季節によく増えますが、1年中温かい室内では冬でも増えていきます。
寄生すると、強いかゆみを与え、ノミアレルギー性皮膚炎を引き起こしたり、腸に寄生する条虫をうつします。

マダニ

夏など暖かい季節によく活動しますが、種類によっては冬でも活動します。多数が寄生すると貧血を引き起こします。また、犬バベシアなど死に至らしめる病原体や、人に感染する病気を運んでくることもあります。
月1回のスポットタイプの液剤や錠剤などで予防できます。

避妊・去勢

避妊去勢手術を行う目的

年を取ってから起こることが多い病気に、乳腺腫瘍や子宮・卵巣の病気(女の子)、前立腺の病気など(男の子)が挙げられます。
けれど、若い時期に避妊・去勢手術をすることでこれらの病気の発症を抑えることができます。
そのため、当院では子供を作る予定がないワンちゃん、ネコちゃんは、避妊・去勢手術を皆様にお勧めしています。
しかしながら、健康な体にメスを入れる、麻酔をかけることに違いはありませんので、飼い主様によっては、手術に抵抗を持たれる方もいらっっしゃると思います。
ご相談だけでも承っておりますので一度お気軽にご来院ください。

健康診断

健康なうちに、ペットの基礎データを得る事ができるので、今後の診断の大きな助けになります。
また、万が一異常が分かれば、早期発見・早期治療につながります。
同時に様々な検査を行う事で、検査データを総合的に判断できます。
基本的にはその日のうちに検査結果のご報告ができますし、何度も来院する必要がないため、動物に対する負担を軽減できます。

歯科、口腔内予防処置

人の表現では咽頭、喉頭と表現します。分かりやすい表現にすると口の中の病気は、歯科、ノドの入り口の病気、ノドの奥の病気があります。

知っていただきたい本当はコワイ歯の病気・・・

口がクサイ、おかしいと感じた時にはすでに手遅れの事もあります。下記に例を掲載します。できるだけ早めにまずはご相談ください。

歯石について

放っておくとこんなにヒドクなる・・・
歯石の中の細菌の動画です

歯石除去のビフォアー、アフター写真

除去前

歯石除去

除去後

歯石除去

ハグキが溶けてしまっています。本来赤い線のところまでハグキです。

歯のレントゲン写真

その1(軽い所見)

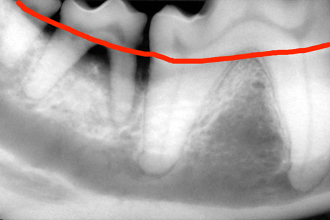
歯のレントゲン写真

大きい歯の方が健康で、小さい方の歯の骨が黒く溶けています。
赤い線がハグキの線です。

その2(重度の所見)

歯のレントゲン写真

歯を支える骨が腐って溶けています。歯が浮いています。
赤い線がハグキの線です。まもなく下アゴの骨が骨折する可能性があります。

眼の下が腫れてしまう
歯科、口腔内予防処置

歯の根っこまで歯石がつくと、歯石のバイキンが原因で顔がハレル。抜歯をしないと治らない。

口鼻ロウ

犬歯についた歯石がひどくなると、口と鼻がつながり、鼻からウミが出る病気。抜歯をしないと治らない。

八重歯(乳歯遺残=いざん)の話

動物はヒトと違って乳歯が抜ける前に永久歯が生えて来ます。一時期乳歯と永久歯がダブって生えています。そして乳歯が自然と抜け落ちます。永久歯は乳歯の抜けた位置に(自然と)移動します。
抜け落ちない歯を放っておくと歯並びが悪くなります。(遺残)
当院では生後7ヶ月頃までに乳歯が残っている時は、乳歯抜歯や永久歯の移動手術をおすすめしています。

出典;犬と猫の臨床歯科

歯科、口腔内予防処置
軟口蓋下垂(ノドの入り口の病気)

俗に言う「ノドチンコ」が垂れ下がってしまう病気で、空気の通り道が狭くなる病気です。そのため呼吸のたびにゲーゲーして呼吸や体温調節がうまく行きません。時に命を脅かす熱中症にもなります。
当院では垂れ下がった部分を手術で切り取って呼吸を楽にする手術を行っています。

健診プラン

当院は様々な医療機器が揃えてあります。体を触るだけの検査から、高度な医療機器を用いての健康診断まで行うことができますので、詳しいことは当院にご来院されてスタッフまでお問い合わせください。