このままでは一緒にいつづけられないと
お困りのペットオーナー様へ。
当院では、
動物と人との共生のための
手術をおこなっております。
このままでは一緒にいつづけられないと
お困りのペットオーナー様へ。
当院では、
動物と人との共生のための
手術をおこなっております。
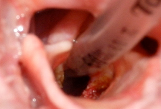
手術の方法は大きく分けて二種類あり、どちらの手術も全身麻酔下で行われます。
口腔アプローチ法(こうくうあぷろーちほう)では、犬の口からパンチやはさみ、あるいはレーザーなどを用いて声帯ひだの一部をカットします。
喉頭切開法(こうとうせっかいほう)では、より侵襲性(しんしゅうせい=体をより多く傷つける)が高い方法で、これは犬や猫ののど(喉頭=こうとう)を切開して声帯
声帯切除といっても、声帯を完全に取り去るわけではなく、あくまでも声を作り出している声帯ひだの一部分を切り取って声のボリュームを小さくすることが目的です。
なお声帯切除手術を受けた犬は、しゃがれた声しか出せなくなり、大声で吠え立てても、せいぜい20メートル先くらいまでしか声が届かなくなります。


犬歯切断(disarming)の方法は、おおむね以下のような流れです。かつでは「犬歯抜歯」(defanging)という歯を根こそぎ抜いてしまう方法もありましたが、費用面、および犬のあごが弱ってしまうという健康面に対する配慮から、最近ではほとんど行われなくなりました。現在は犬の体に対する負担が少ない「犬歯切断」が主流で、歯に通っている神経や血管である「歯髄」(しずい)の上部を切り取ることから生活歯髄切断術(せいかつしずいせつだんじゅつ)とも呼ばれます。切断は上2本、下2本の合計4本の犬歯に対して行われます。
犬歯切断により、先端の鋭利な部分のみが切り取られるため、たとえ犬が噛みついたとしても、少なくとも皮膚を貫通するような大怪我にはなりません。
猫の爪が生えてくる骨を切除することによって、二度と爪が生えてこないようにします。
手術の際に使われる器具は病院によって違いますが、小型のギロチン・メス・レーザーなどいくつか種類があります。


術後は、生涯幸せに暮らしてあげてください。
「これ以上飼うのはどうしても難しい」「これ以上飼うとこの子を嫌いになってしまう」
一緒に暮らすのにどうしても我慢するのが難しいレベルでの問題行動が続きな悩まれている方はまずは一度ご相談ください。