外科系猫
種名:スコティッシュフォールド
年齢:6才
症例:膀胱鏡による結石の除去

検査
ある夏の日、おしっこが出ない、元気がないという猫ちゃんが来院しました。
スコティッシュフォールド、去勢オス、6歳のアンディさん。
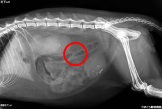
膀胱の中に出来た石が原因で、尿道閉塞を何回も繰り返しているとのこと。
膀胱切開にて結石を取り除くことになりましたが膀胱壁の色は悪く、そのほとんどを切り取らなくてはなりませんでした。
繰り返しおしっこが出なくなっていたことでかなりのダメージを受けていたのでしょう。
さらに後日、尿道を広げる手術(会陰尿道廔術と言います)を行いました。
そのときに尿道内と膀胱粘膜を評価する目的で膀胱鏡を入れたのが以下の動画です。
何回も尿道閉塞を繰り返していたことによって尿道内に憩室を作っていました。
また、膀胱切開手術時には憩室に入っていたと思われる結石も確認することができました。
治療
当院では軟性鏡、硬性鏡(腹腔鏡・膀胱鏡)を導入したことで、より多様な検査や治療を行えるようになりました。
今回はその良い例であったと思います。
冬には猫ちゃんの飲水量が減る時期なので、結石ができるリスクも高くなります。
何回もトイレに行くなどの症状が見られた場合は早めに受診しましょう。
コメント

